Dr Elisabeth Meimoun, implants dentaires à Paris 20
Les implants dentaires expliqués
Au cabinet dentaire du Dr Meimoun situé à Paris 20, nous travaillons avec des marques référentes d'implants :
Brannemark-Nobel Biocare - Zimmer - MIS
Ces marques sont reconnues dans le monde entier, et nous refusons les systèmes Low coast.
Nous avons réussi à réduire les coûts pour que tous les patients puissent avoir des dents et profiter des hautes technologies implantaires.
Le Dr Meimoun, vous averti sur les dangers du tourisme dentaire dans l'article suivant : Réglementation et recommandations du Conseil National de l’Ordre des Chirurgiens-Dentistes
Qu'est ce qu'un implant ?
Un implant est une sorte de vis en titane, fixée dans l'os comme la racine d'une dent naturelle. L'implant permet de remplacer la dent manquante sans toucher aux autres dents.
C'est pourquoi, le praticien adapte la longueur, le diamètre et la forme au cas clinique grâce à un examen radiologique performant: 3D ou scanner.
Le protocole implantaire
Tout d'abord, le praticien doit accéder à l’os, en dégageant la gencive. Pour cela, il pratique une incision à l'aide d'un bistouri, puis il décolle la gencive afin de bien visualiser son champ opératoire. Aujourd'hui, les scanners 3D permettent de reproduire sur ordinateur l'anatomie précise des maxillaires, rendant la chirurgie moins invasive dans les cas courants (technique dite "flapless").
L'implantologie est une avancée majeure qui a amélioré la vie de milliers de patients. En effet, c'est souvent la solution optimale, car :
✔️ Elle évite de sacrifier inutilement des dents saines.
✔️ C'est la seule alternative à la prothèse amovible.
✔️ Elle permet de retrouver le confort des dents naturelles, offrant une qualité de vie incomparable.
✔️ Elle garantit une esthétique optimale.
✔️ Elle prévient la perte osseuse liée à l’extraction d’une dent.
Ainsi, un implant dentaire est la solution idéale lorsqu’une ou plusieurs dents sont manquantes. Presque tout le monde peut bénéficier d’un remplacement dentaire avec un aspect et des fonctions identiques à celles d’une dent naturelle. Toutefois, il est essentiel que le tissu osseux soit totalement développé, ce qui explique pourquoi les implants dentaires ne sont généralement pas posés avant l’âge de 18 ans.
L’implantologiste utilise des forets de diamètre adapté pour préparer l’espace dans l’os. L’implant est ensuite inséré dans l’os avec une légère pression afin d’être stabilisé.
Après cette étape, débute la phase d’ostéo-intégration, durant laquelle l’implant, contrairement à une dent naturelle, devient totalement fixe, c'est-à-dire ankylosé dans l’os. La mise en charge de l’implant est généralement différée afin de laisser le temps à l’ostéo-intégration de se faire correctement, un processus qui dure de quelques semaines à plusieurs mois.
Une fois cette phase terminée, une couronne est posée sur l’implant, qui joue alors le rôle d’une racine artificielle, assurant un maintien optimal et une fonctionnalité identique à celle d’une dent naturelle.
Une alternative à l’implantologie
Le bridge collé cantilever en céramique
Le bridge collé cantilever est une solution efficace pour combler un édentement antérieur de manière rapide, peu invasive et fiable.
Une alternative aux implants dentaires
Aujourd’hui, l’implantologie est considérée comme la solution de référence pour traiter de nombreux cas d’édentement. Grâce aux avancées techniques et aux nouveaux matériaux, il est possible d’appliquer des protocoles de prise en charge adaptés, même en présence de défauts osseux importants.
Cependant, certaines situations rendent la pose d’un implant dentaire impossible :
- Contre-indications médicales ou locales empêchant une intervention chirurgicale.
- Manque de volume osseux ne permettant pas la pose immédiate d’un implant.
- Phases transitoires du traitement implantaire, où le patient souhaite une solution fixe en attendant la finalisation du protocole implantaire.
Dans ces cas, le bridge collé constitue une alternative thérapeutique fiable.
Le bridge collé : une solution moderne et esthétique
Jusqu’à présent, les bridges collés étaient principalement conçus avec des ailettes métalliques, offrant une bonne rétention mais présentant certains inconvénients esthétiques et techniques. Aujourd’hui, l’évolution des matériaux permet la réalisation de bridges collés en céramique, plus discrets et mieux intégrés à l’ensemble du sourire.
Le bridge collé cantilever en céramique se distingue par :
✔️ Une pose peu invasive, sans meulage excessif des dents adjacentes.
✔️ Une esthétique optimale, grâce à l’absence de métal et à l’effet naturel de la céramique.
✔️ Une fiabilité renforcée, offrant une solution durable pour le remplacement d’une dent antérieure.
Cette technique constitue une alternative intéressante pour les patients ne pouvant ou ne souhaitant pas recourir aux implants dentaires, tout en bénéficiant d’une solution fixe et esthétique.
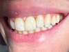
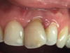
Remplacement d’une dent absente par un bridge
Cas cliniques
Rapidement, sans couronner les dents adjacentes , on s'appuie sur la face palatine d'une seule dent proximale et grâce aux nouc-velles tecchnologies adhésives, la dent est remplacée !















